このような方におすすめです
- 挙式を控えている方
- 歯の黄ばみが気になる方
- 歯を削らず健康的に自然な白い歯にしたい方
- 笑顔に自信を持ちたい方
など
井荻歯科医院の医療ホワイトニングの特徴
ホワイトニングコーディネーターの在籍
専門のホワイトニングコーディネーターが患者様の希望を聞きながら治療前の歯の状態をふまえ適切なホワイトニングメニューを提案いたします。不安のないようにホワイトニング中の注意点、アフターケアなども丁寧にお応えいたしますのでお気軽にご相談ください。
厚生労働省認可のホワイトニング剤を使用
国内外様々なホワイトニング剤やケアグッズがありますが、当院では確実な効果と安全性の両方を実現できる厚生労働省認可の薬剤のみを使用しています。更にホワイトニング中におこる知覚過敏などによるストレスを回避するためのホームケアグッズも多種揃えて安心してホワイトニングできる体制を整えております。
ホワイトニング専用ライトと歯科専用測色カメラの導入
ホワイトニングライトの光源にはLEDを使用。ムラなく多数歯を照射。発熱が少なく長時間の照射でも患者さんに優しく負担の少ないホワイトニングを実現。
ホワイトニング前後を客観的にみていただくため、光学技術を活かした高精度な測色能力を持つ歯科用測色装置を使用。撮影時患者口腔内の外光を遮光し撮影環境を統一化することで、正確な情報を得ることで色分析を行うことができます。


術前クリーニングと色戻りしないためのアフターケア
ホワイトニングしても歯の表面に汚れが付着している状態では十分な効果を見込めません。当院ではホワイトニング前に必ず丁寧なクリーニングをします。また、虫歯や歯周病があると痛みを感じてしまうので、必要があれば事前処置を行います。
ホワイトニング後は食事や飲み物、セルフケアなどホワイトニングの効果を継続していただく為のアドバイスをお伝えし、定期的な健診では通常の虫歯と歯周病のチェックのほかに、とクリーニング、歯の色のチェックを行うなどアフターケアも充実しています。
井荻歯科医院のホワイトニングメニュー
| ホームホワイトニング | オフィスホワイトニング | デュアルホワイトニング | インターナルブリーチ (神経のない歯のホワイトニング) |
|
|---|---|---|---|---|
| 施術 | ご自宅で | 歯科衛生士 | 歯科衛生士 | 歯科医師、歯科衛生士 |
| 通院回数 | 2~3回 | 1~2回 | 4~5回 | 3回 |
| 施術時間 | 1日3~5時間OR30~60分 | 60~90分 | 60~90分 | 60分 |
| 治療期間 | 1~4週間 | 1~2日 | 3~4週間 | 2~3週間 |
| 即効性 | 1~2週間 | 1日(1回の施術で効果を実感) | 1日(1回の施術で効果を実感) | 1日(1回の施術で効果を実感) |
| 持続性 | 1年以上 | 3か月から半年 | 半永久的 | 半永久的 |
| 痛み | 知覚過敏 | 一過性の疼痛 | 一過性の疼痛 | なし |
※上記内容には個人差がございます
医療ホワイトニング
医療ホワイトニングとは、歯科医療機関で国会資格を持つ歯科医師や歯科衛生士によって行われる歯の内部まで白くするホワイトニング医療のことです。
主な特徴は、医療機関でのみ取り扱いが許可されている高濃度の漂白成分を含む薬剤を使用していることです。これにより、歯の表面の着色だけでなく歯の内部の色素を分解して歯本来の色よりも白くすることが可能です。
医療ホワイトニングと非医療ホワイトニングの違い
| 医療ホワイトニング | 非医療ホワイトニング | |
|---|---|---|
| 場所 | オフィスホワイトニング→歯科医療機関 ホームホワイトニング→ご自宅など(歯科医師、歯科衛生士の指導のもと) | セルフホワイトニング専門店、美容室、ネイルサロン、エステサロン、ご自宅など |
| 白くする部分 | 歯の表面についた着色汚れ 歯の内部に沈着した色素 |
歯の表面についた着色汚れ |
| 使う材料 | 医療機関製品 | 化粧品該当製品やホワイトニング歯磨き粉 |
ホワイトニング症例
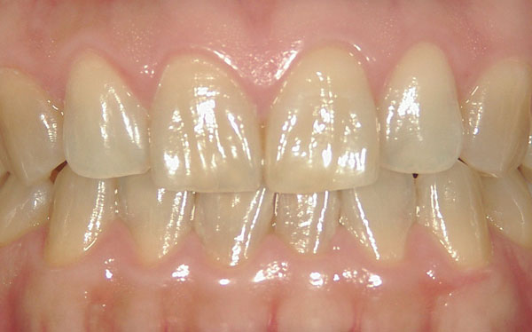
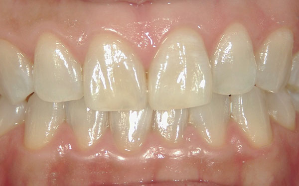
オフィスホワイトニング単回
| 費用 | 初回35,000円 2回目以降20,000円(税抜) |
|---|---|
| 治療期間 | 1日約90分 |
| リスク | 施術後一過性の疼痛 1度施術することで効果的に白く変化がみられる。 ただし術後の色戻りは個人差があるため、着色しやすい飲食物は控える、定期的なクリーニングが必要。できればホームホワイトニングをしていただいたほうが、より継続して白さを維持できます。 |

施術前

施術後
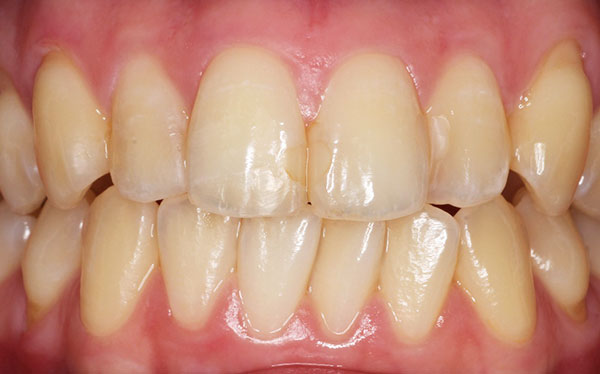
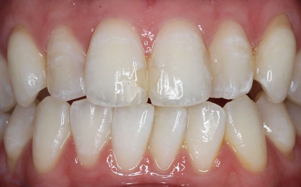
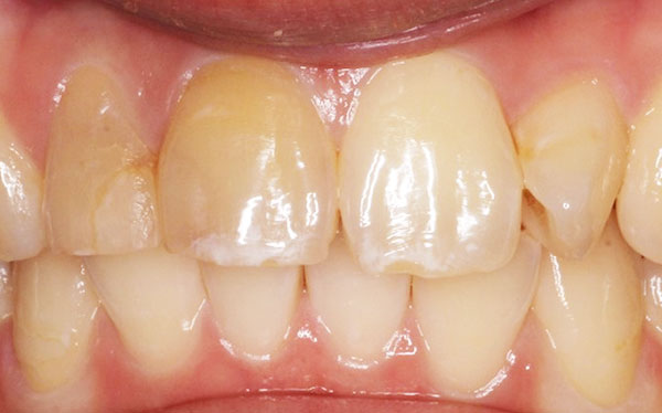
デュアルホワイトニング3回
| 患者 | 20代女性 |
|---|---|
| 費用 | 100,000円(税抜) (オフィスホワイトニング施術3回分、ホームホワイトニングマウスピース上下、ホームホワイトニングジェル2本のセット) |
| 治療期間 | 約1ヶ月 1~2W間隔でオフィスホワイトニングの施術をするため通院 |
| リスク |
|

施術前

施術後
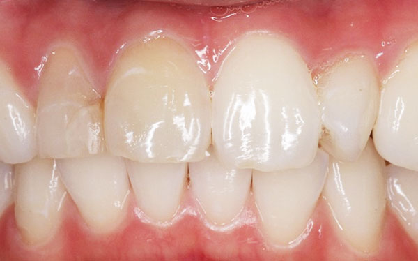
デュアルホワイトニング4回
| 患者 | 30代女性 |
|---|---|
| 費用 | 130,000円(税抜) (オフィスホワイトニング施術4回分、ホームホワイトニングマウスピース上下、ホームホワイトニングジェル2本 のセット) |
| 治療期間 | 約1か月~ オフィスホワイトニングを1~2W間隔で施術するために通院 |
| リスク |
|

施術前

施術後
ホームホワイトニング
| 患者 | 50代女性 |
|---|---|
| 試用期間 | 2週間 |
| 費用 | マウスピース上下30,000円ジェル1本 3,000円(税抜) |
| リスク | CR充填物の変色効果は天然歯に比べて悪いため、ホワイトニング後再CR治療を行う必要性あり。 オフィスホワイトニングなどに見られる疼痛や知覚過敏症状は比較的出にくい。 |

施術前

施術後
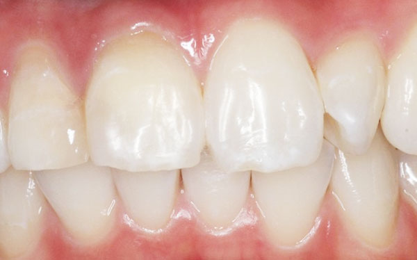
デュアルホワイトニング4回
| 患者 | 60代女性 |
|---|---|
| 費用 | 130,000円 (オフィスホワイトニング施術4回分、ホームホワイトニングマウスピース上下、ホームホワイトニングジェル2本 のセット) |
| 治療期間 | 約1か月~ 1~2W間隔でオフィスホワイトニング施術の通院 |
| リスク |
|

施術前

施術後
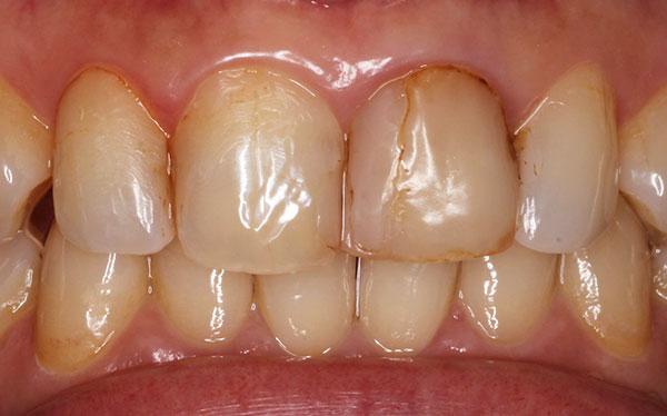
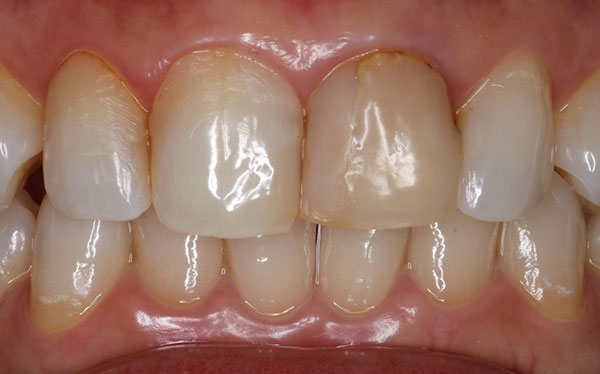
デュアルホワイトニング4回
| 患者 | 70代女性 |
|---|---|
| 費用 | 130,000円 (オフィスホワイトニング施術4回分、ホームホワイトニングマウスピース上下、ホームホワイトニングジェル2本のセット) |
| 治療期間 | 約1か月~ 1~2W間隔でオフィスホワイトニング施術の為の通院 |
| リスク | 施術後に一過性の疼痛 知覚過敏症状の出現 ホワイトバンドやホワイトスポットの出現 |

施術前

施術後
ホワイトニングまでの流れ
①カウンセリング
患者さんのご希望を基に専門のコーディネーターがカウンセリングをし、最適なホワイトニングプランを提案します。
②口腔内検査
ホワイトニングは特殊な薬剤や技術を使用するためお口の中の状態をチェックします。虫歯や歯周病があると痛みを伴う為事前に口腔内を確認し、必要な場合は処置を行います。
③クリーニング
歯の表面に汚れが付着しているとホワイトニングの効果が十分に得られないため、事前に丁寧なクリーニングを行います。

④シェードチェック
歯科専用の歯の色測定器(クリスタルアイ)を用いて歯の色の分析を行い、術前、術後の歯の色の変化を客観的に確認していただきます。


⑤ホワイトニング開始

⑥クリスタルアイにて色の確認


⑦クリーニング・フッ素塗布
ホワイトニングの注意点
効果は個人差があります
いずれの方法も天然の歯に有効ですが、歯の構造や着色の度合いによって白くなる速さや効果に個人差があります。また、生活習慣(喫煙・コーヒー・紅茶など着色しやすい嗜好品)に影響されます。
治療後の人工物は白くなりません
差し歯などのかぶせ物などの治療された歯はホワイトニングでは白くなりません。
ホワイトニング後色調に差が生じることがあります。
クリスタルアイで記録した歯の色を基に、より天然歯のような差し歯や詰め物に変えることが可能です。
妊娠中の方、18歳未満の方は行っていません。
妊娠中また授乳中の方、永久歯が幼弱なため18歳未満の方はホワイトニングをお断りしています。
定期的な歯科医院でのメインテナンス
ホワイトニングは永久性がないため、よりよい白い状態を維持していただく為に定期的な歯科医院でのクリーニングやタッチアップホワイトニングをオススメいたします。
インターナルブリーチとは
神経の治療した歯の内側から行うホワイトニングです。この治療では歯の外側から白くするのではなく、歯の中に薬剤を入れて内側から自然な白さに近づけていきます。被せ物や差し歯にする前に、できるだけご自身の歯を白くしたい方に適した治療法です。
変色歯の主な原因
- 過去に歯をぶつけた記憶がある(外傷)
- 深いむし歯で歯の神経が死んでいる
- 過去にむし歯の治療で神経ギリギリまで進んでると言われた
- むし歯が歯の神経まで進んでしまい「根の治療」を受けた事がある
など
インターナルブリーチの流れ
①カウンセリング・診察
歯の状態や変色の原因を確認し、インターナルブリーチが可能かを診察します。
②薬剤を入れる準備
レントゲンで歯の状態を確認し、治療が必要な場合は神経の治療を行います。
③歯の内側からホワイトニング
歯の中に薬剤を入れて仮のフタをします。約1週間後に2回目のホワイトニングを行います。
④色の確認・仕上げ
2回目のホワイトニングの約10日後以降、十分に白くなったら最終的な詰め物をして治療完了です。
ホームホワイトニング+インターナルブリーチ
| 患者 | 20代女性 |
|---|---|
| 期間 | ホームホワイトニング使用1か月間 |
| 内容 | ジェル2本使用 |
| 症状 | 知覚過敏の症状出現 |
| 詳細 |
|
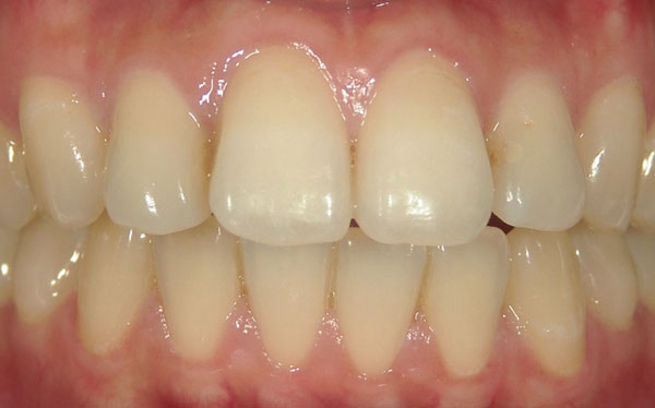
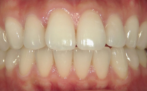
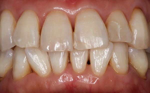
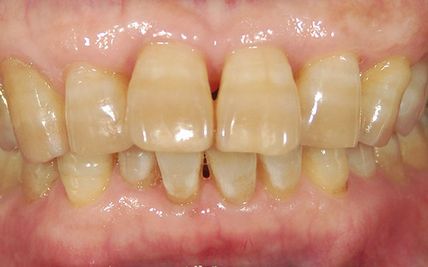
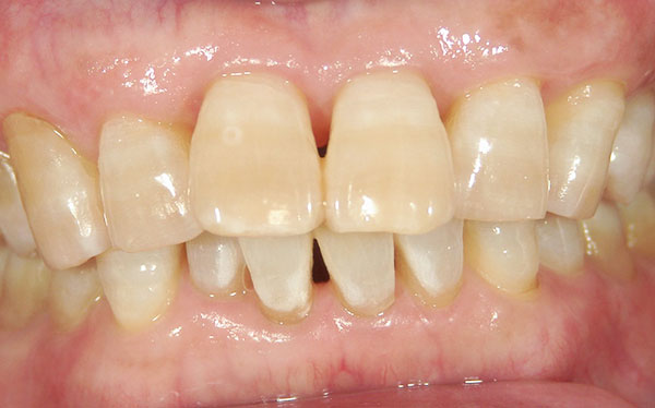
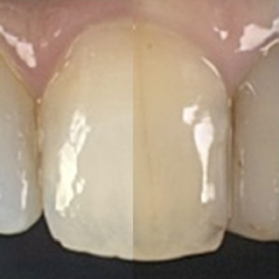
右上1番2番失活歯
図1 ホームホワイトニング前

図2 ホームホワイトニング1か月使用後

図3 右上1番2番
インターナルブリーチ施術後

ガムピーリングとは
歯ぐきの黒ずみを改善し、自然なピンク色に近づける治療です。専用の薬剤を使って、歯ぐきの表面の色素をやさしく取り除くことで、健康的で明るい印象の歯ぐきを目指します。(効果には個人差があります)
このような方におすすめです
- 歯ぐきの黒ずみが気になる方
- 健康的なピンク色の歯ぐきを手に入れたい方
- ホワイトニングをしたら歯ぐきの色も気になるようになった方
- お口元の印象を明るくしたい方